TKA for Severe Valgus Deformity
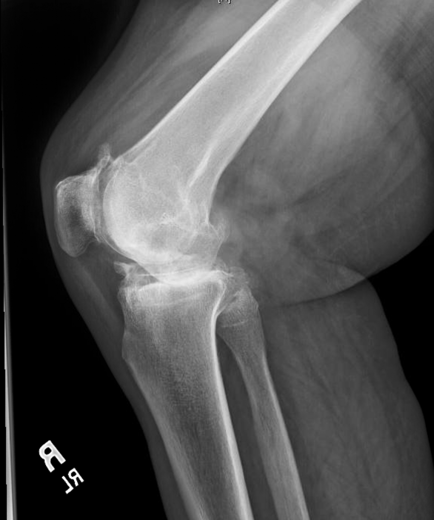
This is a 75 year old female with end stage arthritis of the right knee and a severe valgus (knock-knee) deformity. She ambulated with a walker and had approximately 25 degrees of valgus with a 15 degree flexion contracture.
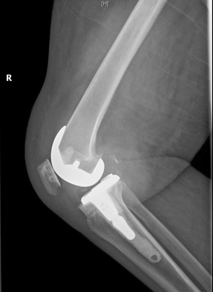
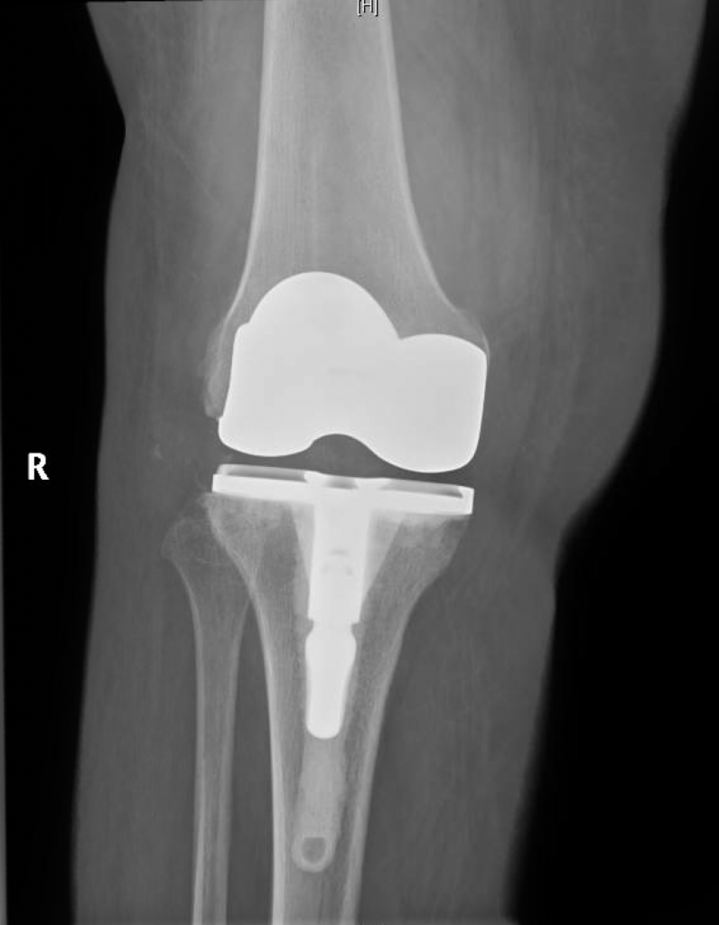
She underwent reconstructive total knee replacement, which corrected her deformity completely.
At 3 months after surgery, the patient was able to walk without pain and uses a cane for long distances only.



