THA for Acetabular Fracture
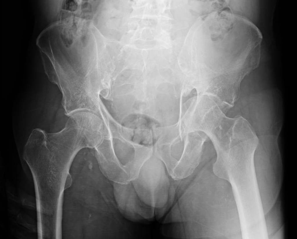
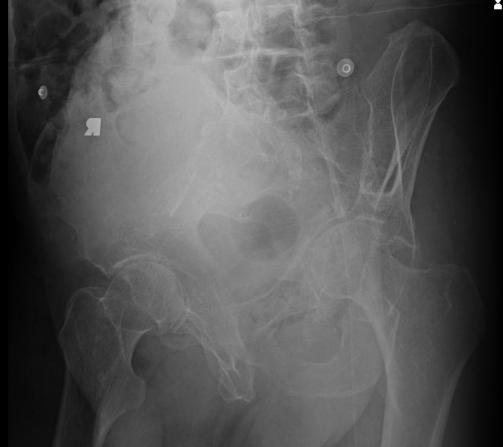
This is a 78 year old male who fell and sustained an anterior column acetabular fracture. The patient had a history of peripheral vascular disease and previously underwent femoral-femoral artery bypass. This precluded him from having a traditional open reduction internal fixation (ORIF) of the acetabulum through an ilioinguinal approach.
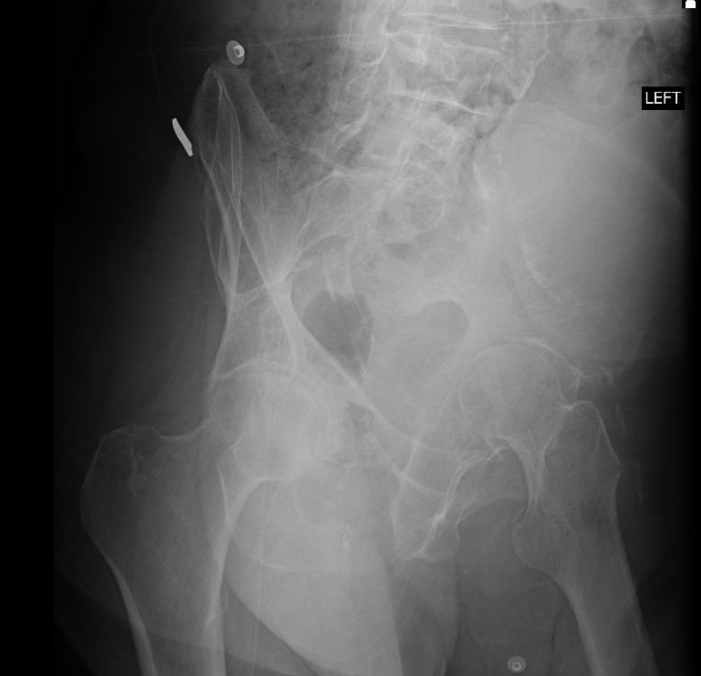
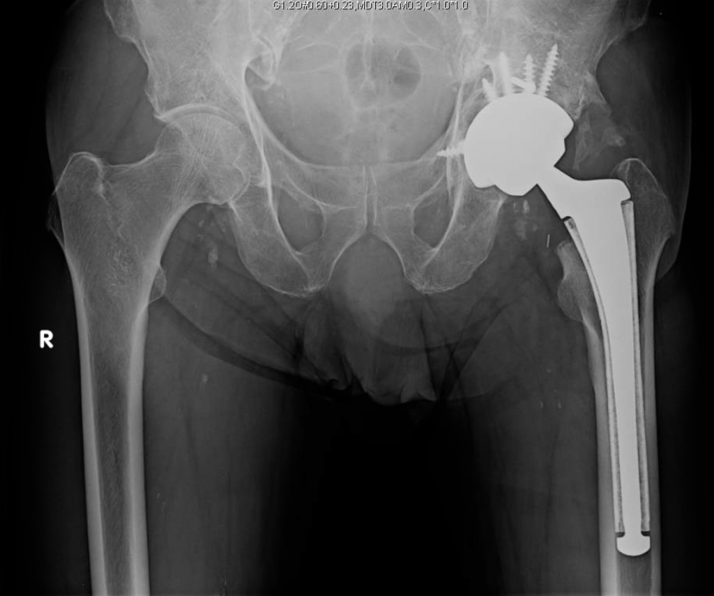
The patient underwent simultaneous acetabular ORIF and complex THA reconstruction by Dr. Darwin Chen and Dr. David Forsh (Chief of Orthopaedic Trauma). A Kocher-Langenbeck approach was used for exposure. The anterior and posterior columns were secured together using a single posterior-to-anterior screw just superior to the acetabulum. An acetabular shell was implanted with excellent inherent stability, followed by screw fixation into the superior dome as well as inferiorly into the ischium.
After a period of limited weight bearing, the patient was able to return to full function without deficits.





