Top

Partial Knee Replacement

 

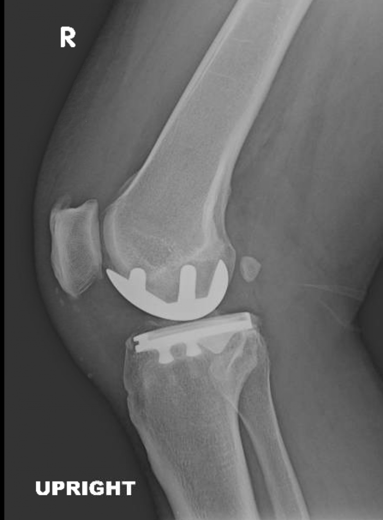
This is a 67 year old male with isolated medial compartment arthritis of the right knee. His lateral and patellofemoral compartments were pristine and his symptoms consisted of 100% medial sided pain.

He underwent minimally invasive, outpatient partial knee replacement and walked home the same day with a cane.

At 2 week follow up, the patient was walking unassisted and had already resumed light exercise at the gym.