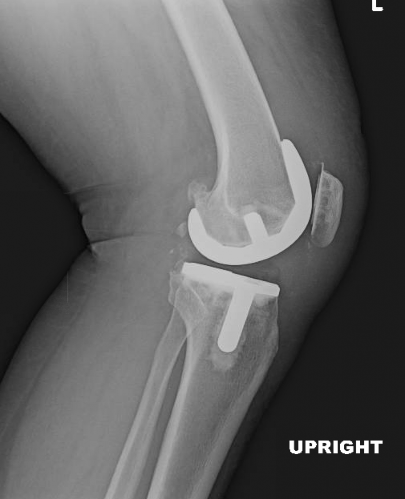
Customized TKA
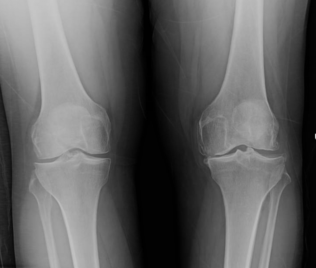
This is a 56 year old female with severe post-trauamtic arthritis of the left knee. She underwent prior knee arthroscopy, which failed. She had continuous pain, a significant limp, and a flexion contracture of 15 degrees.
The patient’s customized surgical plan and individualized implants were created specifically for her based off of a CT scan of her knee.
At her 2 week postoperative visit, she was walking with a cane only for long distances and had a range of motion of 0-115.





